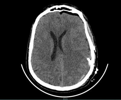
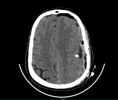
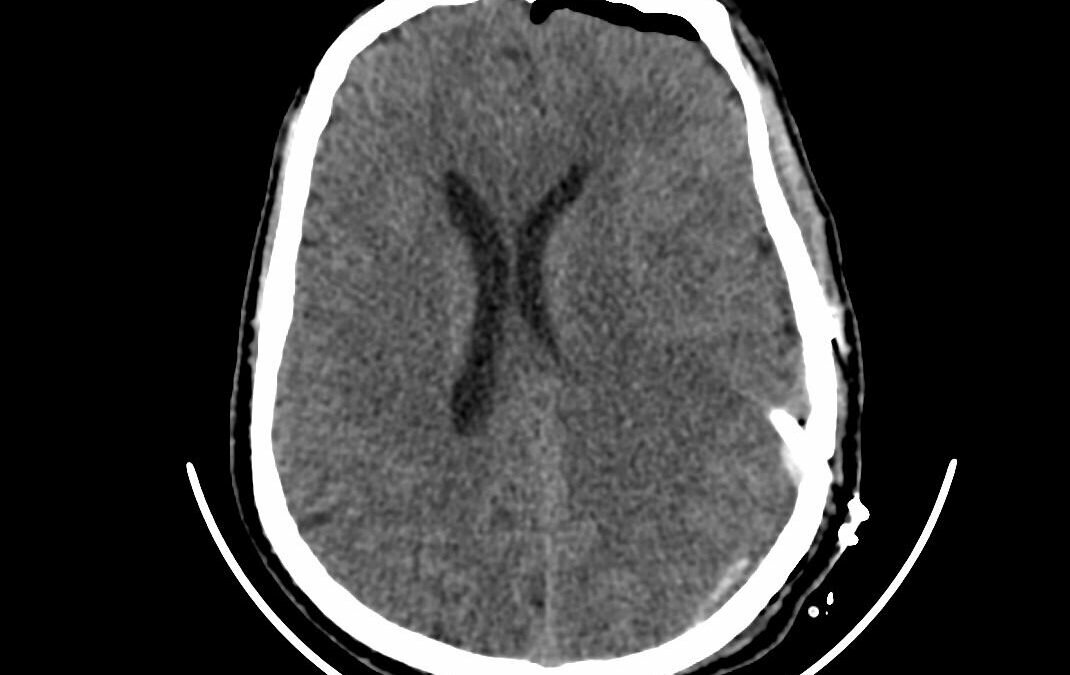
اجرى قسم جراحة المخ والاعصاب بمستشفى الملك عبدالعزيز عضو تجمع مكة المكرمة الصحي عملية دقيقة لازالة الاكياس النزفيه في الدماغ لمريض اربعيني بواسطة المايكروسكوب والمنظار بعد معاناته من صداع شديد وفقدان النطق مع ضعف في الجانب الأيمن
وأوضح رئيس القسم الدكتور زهير هوساوي الذي أجري العملية أن المريض قد قدم لقسم الطوارى وهو يعاني من صداع شديد وفقدان النطق وضعف الحركة بالجانب الايمن من عدة شهور وبعد الفحص السريري والأشعة اتضح وجود اكياس نزفيه بجانب منطقة الحركة والكلام في الدماغ مما استلزم إجراء العملية باستخدام المايكروسكوب والمنظار التي تُعد من أحدث التقنيات العلاجية في هذا المجال وتم ازالة التكيسات في المناطق الدماغية كاملة مع المحافظه على منطقة الحركة والكلام بفضل الله ثم التطور الهائل في مجال الخدمات الطبية والعلاجية الذي تواكبه قطاعاتنا الصحية بدعم واهتمام كبير من القيادة الرشيدة -رعاها الله – وحرصها على توفير أفضل و أحدث الإمكانيات المتطورة تم اجراء العملية بنجاح تام وعودة النطق والحركة لطبيعته السابقة لدى المريض .
مبيناً أن العمليه استغرقت ثلاثة ساعات بمشاركة كلاً من استشاري جراحة المخ والاعصاب الدكتور محمد المشد واستشاري التخدير الدكتور علي الغامدي و الدكتور محسن .
وأكد المدير التنفيذي للخدمات الطبية الدكتور محمد العتيبي أن قسم جراحة المخ والاعصاب بالمستشفى يُعد من الأقسام الرائدة في هذا المجال نتيجة للدعم الكامل الذي يحظى به المستشفى من حكومتنا الرشيدة – حفظها الله – التي تسعى دائماً لتوفير كل الإمكانيات المتطوره في سبيل تقديم أفضل الخدمات الطبية للمواطنين والمقيمين وضيوف بيت الله الحرام .




